入れ歯

【宮崎市 川野歯科医院】ノンクラスプデンチャーと保険の部分入れ歯の違い|後悔しない選び方を歯科医が解説

宮崎市で部分入れ歯をご検討中の方へ。「ノンクラスプデンチャー(バネのない入れ歯)」と「保険の部分入れ歯」、どちらを選ぶべきか迷われる方は少なくありません。この記事では、見た目・噛み心地・費用・将来性の観点から、歯科医の立場で分かりやすく比較...
入れ歯

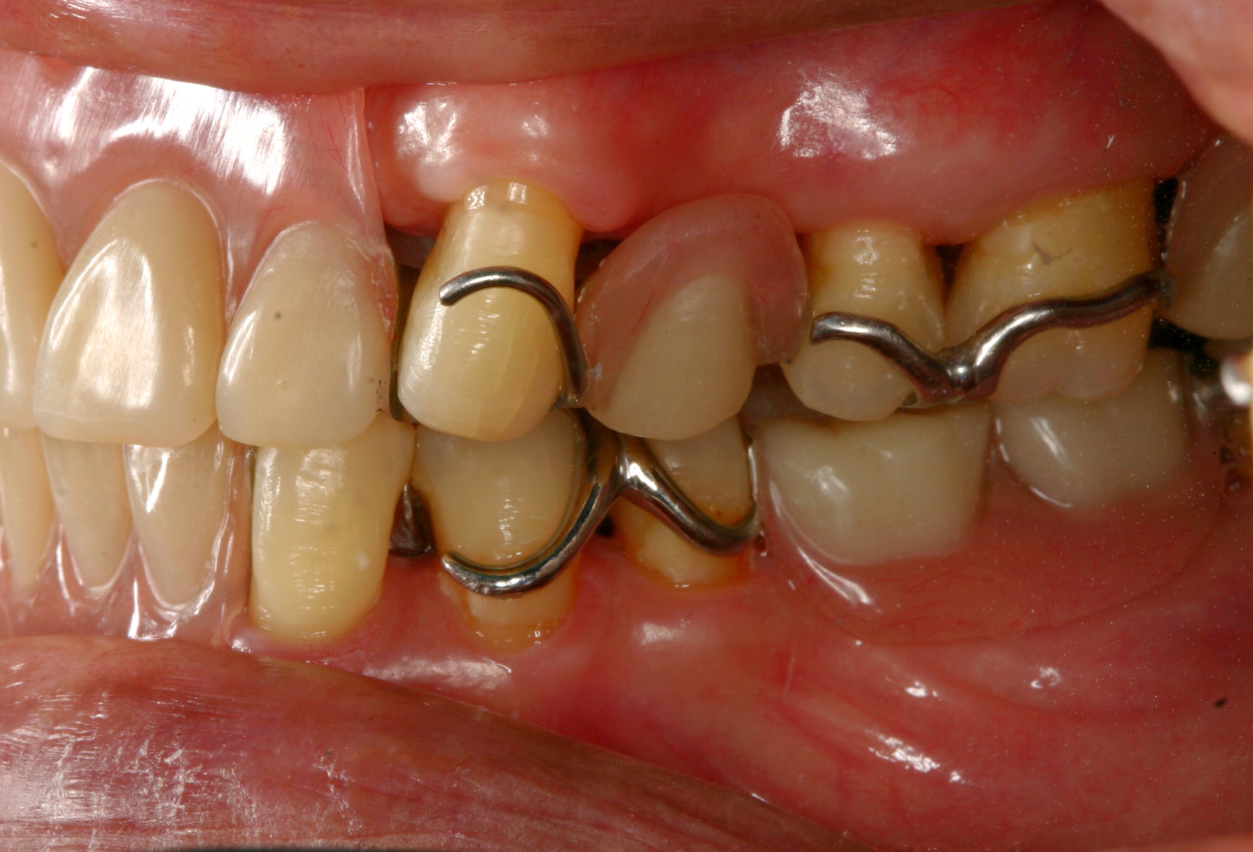
【宮崎市 川野歯科医院】部分入れ歯治療の流れ|初診から完成まで

① 初診・カウンセリング現在のお悩みやご希望を丁寧にお伺いします。見た目・噛み心地・費用など、不安な点は何でもご相談ください。型取りから完成までの日数は最短で2日、平均で20日程必要です。② お口の検査・診断残っている歯や歯ぐき、噛み合わせ...
むし歯

スウェーデン流!こどもをムシ歯から守る予防法 5つのポイント

スウェーデンでは、歯の健康を維持するために積極的なアプローチが取られています。その中で、子供のムシ歯予防に関するアドバイスが特に注目されています。スウェーデン人の歯科医師が推奨する5つのポイントをご紹介します。詳しくはここから1. 週1回の...
アンチエイジング

口に関する「軽度な衰え」:放っておくと要介護の原因に!!

「口に関する軽度な衰え」とは、**病気と診断されるほどではないけれど、以前と比べて少しずつ現れる“口の機能低下のサインを指します。特に中高年以降では、ご本人も周囲も見逃しやすいのが特徴です。口に関する「軽度な衰え」の具体例① 噛む力・噛み切...
未分類

安心の歯科治療: 最新医療DX対応へ向かって

こんにちは。当院では、すべての患者さまに安心して診療を受けていただけるよう、厚労省の施設基準を満たした体制整備と、最新技術の導入を進めています。ここでは、当院が対応している13の重要な取り組みをご紹介します。(令和7年5月1日現在)① 歯科...
健康増進

口がかわく! ドライマウス(口腔乾燥症)の健康への影響と予防法

ドライマウスは、一般的につば(唾液)の出が悪くなって、口の中が渇いているいる状態です。唾液に関係なく、口が乾いていると感じる時も対象となります。口腔乾燥症ともいいます。症状としては、口がかわく、口の中のネバネバ感、舌がヒリヒリする、口臭が強...
入れ歯

新しいレジン床義歯「プロインパクト」:厚さの不安を解消する新技術のご紹介

入れ歯の選択において、患者が最も気にする一つは入れ歯の厚みです。見た目や快適さに影響を与えることがあり、その厚みの感じ方は個人差があります。しかし、新しいテクノロジーが登場し、厚みの問題に対処する素晴らしい解決策が提供されています。それが、...
PAGE TOP